产品中心 PRODUCT
推荐产品 / Products
发布时间: 2017 - 03 - 16
发布时间: 2017 - 03 - 16
发布时间: 2017 - 03 - 16
新闻资讯 NEWS 更多 >
Hot News / 热点新闻
2020 - 09 - 07
点击次数: 1049
我司同种异体骨植入材料产品延续注册已获国家药品监督管理局批准,新注册证号及产品技术要求编号为国械注准20153131541,产品使用说明书和产品标签同时做相应内容变更。以上变更自20200901及后续批次实施,原注册证号20153461541及注册产品标准YZB/国2707-2015截至20200803批次不再使用。特此通知!   杭州鸿立生物医疗科技有限公司2020...
2017 - 05 - 04
点击次数: 372
医药网讯 随着社会老龄化加剧,居民健康意识觉醒,我国对骨科植入医疗器械的需求将延续增长。未来十年内,我国有望成为全球骨科器械最大市场,到2020年市场规模超过300亿元。   在全球医疗器械领域,骨科器械是不容忽视的细分领域,占医疗器械市场规模比重达到9%。尽管国内骨科器械行业处于发展初期,但增长迅猛,近五年来年复合增长率达到15.5%,远远超过全球4.5%增速。   所谓骨科...
2017 - 05 - 04
点击次数: 369
摘要  合成材料组织工程骨移植物是当前骨移植材料研发重点,发展迅速,但是,目前研发的各类支架材料性能存在缺陷,还不能完全满足临床要求;细胞体外筛选、扩增、分化和为能在局部持续释放细胞因子而采用的转基因细胞移植或腺病毒转染局部细胞等技术还存在安全隐患,回植体内后不能保证细胞活性,细胞骨组织工程种植体构建质量、及时性,储存、运输等方面还不具临床规模化应用的可行性。目前,无细胞人工合成材料在临...
2017 - 05 - 04
点击次数: 323
大段骨缺损是矫形外科较普遍又棘手的问题,由于自体骨来源有限,人工假体无生物学活性,易发生松动和疲劳断裂等并发症,而异体骨来源丰富,形状大小不受限制,并具有生物学活性,有较好的应用前景。临床长期随访结果常发生异体骨骨折并发症〔1,2〕,影响手术效果。为此本文着重阐述骨肿瘤保肢术后发生异体骨骨折的临床特点及预防措施,以提高保肢手术质量。  1 同种异体骨骨折的临床与治疗  1.1 临床特点 保肢术后异...

病例一

日期: 2017-05-03
浏览次数: 166

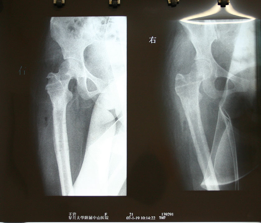
王*,女性,因右股骨骨囊肿,于2005年11月行囊肿刮除,同种异体骨颗粒植入,股骨近端DHS钢板螺钉内固定术后,术后1年和2年随访,骨愈合良好,内固定拔除。


病例一


病例一


上一篇:病例二下一篇:无
Case / 相关推荐
2017 - 03 - 16
数据来源:青岛大学医学院附属医院复旦大学附属中山医院上海交通大学医学院附属瑞金医院数据统计:上海交通大学基础医学院生物统计教研室
2017 - 05 - 03
数据来源:国家食品药品监督管理局济南医疗器械质量监督检验中心阴性组:小鼠背部皮下注射PBS(PH7.2)实验组:小鼠背部植入深冻骨对照组:小鼠背部植入已上市冻干骨体液免疫研究炎症细胞因子含量特异性细胞免疫反应NK细胞的活性
2017 - 05 - 03
徐**,男性,于2006年2月24日因第3/4颈椎椎间盘突出症,颈椎前路椎间盘切除,同种异体骨椎体间植骨融合内固定手术,术后2个月,11个月及4年半随访植骨块愈合良好
2017 - 05 - 03
王*,女性,因右股骨骨囊肿,于2005年11月行囊肿刮除,同种异体骨颗粒植入,股骨近端DHS钢板螺钉内固定术后,术后1年和2年随访,骨愈合良好,内固定拔除。
Copyright © 2016 - 2019杭州鸿立生物医疗科技有限公司
犀牛云提供企业云服务
地址:杭州经济技术开发区白杨街道21号大街600号(海外留学生创业园2幢3楼)
电话:0571-87703032 
传真:0571-87703031
邮编:330520